DOI: 10.59722/rmcu.v3i1.1130

Revista Médico Científica UNACHI

REPORTE DE CASO

Una causa inusual de asimetría corporal: esclerodermia profunda

Deep morphea as an unusual cause of body asymmetry


Autores: Rios Acosta P1, Rodríguez Rodríguez D.2.

1Médico Interno, consulta externa, Policlínica Gustavo A. Ross, Caja de Seguro Social, Panamá.

2Médico especialista en Dermatología, Consulta externa, Policlínica Gustavo A. Ross, Caja de Seguro Social, Panamá.

Recibido: 04 de diciembre del 2025; aceptado:02 de enero del 2026

Disponible en internet: 30 de enero de 2026


RESUMEN

La morfea profunda es una variante poco frecuente de esclerodermia localizada caracterizada por induración cutánea y compromiso de tejidos profundos, cuya evolución clínica puede condicionar un estado de limitación funcional. Se presenta el caso de una paciente de 43 años, con un cuadro clínico de 21 años de evolución, caracterizado por atrofia progresiva, rigidez y limitación del rango de movimiento, sin evidencia de afectación sistémica. El examen físico reveló asimetría corporal e induración cutánea residual en hemiabdomen derecho y miembro inferior izquierdo. La biopsia confirmó fibrosis de la dermis y tejido subcutáneo, hipocelularidad y engrosamiento del colágeno, compatibles con una fase crónica inactiva. Los estudios complementarios mostraron marcadores inflamatorios normales y autoanticuerpos negativos. Ante la baja tolerancia al tratamiento inmunosupresor, se optó por manejo conservador con fisioterapia. Este caso ilustra la naturaleza progresiva y predominantemente localizada de la morfea profunda, subrayando la relevancia del abordaje multidisciplinario para preservar la función a largo plazo.

ABSTRACT

Deep morphea is a rare variant of localized scleroderma characterized by cutaneous induration and involvement of deep tissues, whose clinical course may lead to functional limitation. We present the case of a 43-year-old woman with a 21-year history of disease, characterized by progressive atrophy, stiffness, and limitation of range of motion, without evidence of systemic involvement. Physical examination revealed body asymmetry and residual cutaneous changes affecting the right hemiabdomen and the left lower limb. Skin biopsy confirmed fibrosis of the dermis and subcutaneous tissue, hypocellularity, and thickening of collagen bundles, consistent with a chronic inactive phase. Complementary studies showed normal inflammatory markers and negative autoantibodies. Due to poor tolerance to immunosuppressive therapy, conservative management with physiotherapy was chosen. This case illustrates the progressive and predominantly localized nature of deep morphea and highlights the importance of a multidisciplinary approach to preserve long-term function.

PALABRAS CLAVES: Morfea profunda, Esclerodermia lineal, Fibrosis cutánea, Atrofia tisular

KEYWORDS: Deep morphea, Linear Scleroderma, Skin fibrosis, Tissue atrophy.

INTRODUCCIÓN

La esclerodermia localizada es una enfermedad inflamatoria crónica del tejido conectivo caracterizada por fibrosis progresiva de la piel, el tejido subcutáneo, la fascia, el músculo y el hueso, sin compromiso sistémico1. Clínicamente, se presenta en diversas formas; la morfea profunda puede causar atrofia muscular, contracturas articulares y deformidades de las extremidades, acompañadas de limitación funcional y alteración de la movilidad. El compromiso suele ser unilateral, con predominio en las extremidades y el tronco. El curso clínico de la enfermedad es variable: en algunos casos la fibrosis se estabiliza, mientras que en otros progresa y conduce a discapacidad significativa2.
La incidencia global estimada oscila entre 0.4 y 2.7 casos por 100 000 habitantes por año. En Norteamérica, se ha reportado una incidencia anual aproximada de 1.4 casos por 10 000 personas menores de 65 años3.

CASO CLÍNICO

Paciente femenina de 43 años de edad, con una historia clínica de 21 años de evolución, caracterizada por asimetría corporal progresiva.
El cuadro inició como un proceso inflamatorio localizado en la porción medial del miembro inferior izquierdo que progresó rápidamente a hemiabdomen derecho, sin síntomas sistémicos asociados. Posteriormente, la paciente desarrollo atrofia y rigidez de la extremidad, lo que condicionó una limitación importante del rango de movimiento.
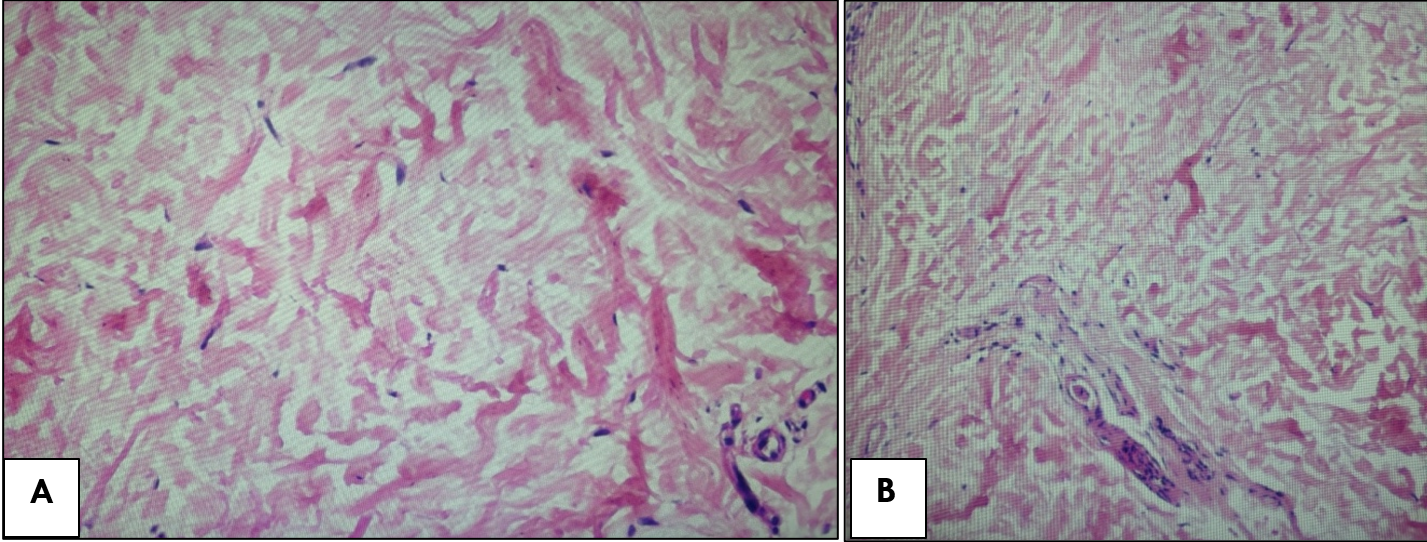
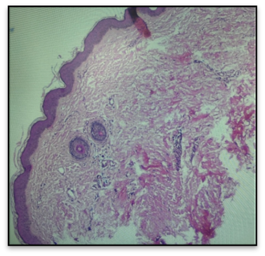
En ese contexto, se realizó una biopsia cutánea en la porción medial del miembro inferior izquierdo. El estudio histopatológico evidenció dermis esclerosada con engrosamiento de los haces de colágeno, hipocelularidad, disminución de anexos cutáneos y leve infiltrado linfoide, sin datos de actividad inflamatoria significativa, hallazgos compatibles con esclerodermia localizada profunda (morfea profunda) en fase crónica inactiva. (Figura 1 y 2)
Al examen físico actual, se observa asimetría corporal y un estado de atrofia residual que compromete porción medial del miembro inferior izquierdo, desde el muslo hasta el tobillo, así como el hemiabdomen derecho. (Figura 3 y 4) La piel a nivel del muslo en región medial de la extremidad inferior izquierda presenta resequedad, telangiectasias residuales y pérdida del vello superficial. (Figura 5)
Los estudios de laboratorio muestran marcadores inflamatorios dentro de rangos normales y autoanticuerpos negativos, sin evidencia de enfermedad sistémica. Con el fin de descartar compromiso neurológico asociado, se realizó un estudio de neuroconducción, el cual se reporta sin datos de neuropatía periférica.
Actualmente, la paciente se mantiene en seguimiento por el servicio de Reumatología, Dermatología y Fisiatría. Presentó baja tolerancia al tratamiento inmunomodulador con hidroxicloroquina y colchicina, por lo que se optó por un manejo conservador, dirigido a preservar la movilidad funcional.

Figura 1. Biopsia cutánea porción medial del miembro inferior izquierdo. Corte completo con marcada disminución de anexos cutáneos, folículos pilosos (hematoxilina-eosina, x10). Fuente:propia del autor.
Figura 2. Biopsia cutánea. (A)Dermis reticular compuesta por bandas gruesas de colágeno. (B). Presencia de escaso infiltrado linfocítico perivascular, sin signos de actividad inflamatoria significativa (hematoxilina-eosina). Fuente:propia del autor.
Figura 3. Miembros inferiores. (A)Vista anterior (B) Vista posterior, se evidencia asimetría y atrofia de la porción medial del miembro inferior izquierdo. Fuente:propia del autor.
Figura 4. Vista anterior del abdomen. Se observa placa atrófica lineal que compromete hemiabdomen derecho. Fuente:propia del autor.
Figura 5. Vista medial del miembro inferior izquierdo. Placa hipercrómica, áspera con telangiectasias residuales. Fuente:propia del autor.

DISCUSIÓN

La morfea profunda es un subtipo de esclerodermia caracterizado por induración cutánea que afecta principalmente el tronco y las extremidades, en algunos casos con compromiso del tejido subcutáneo, fascia, músculo y hueso.4 Este subtipo se asocia con daño tisular significativo y deterioro funcional a largo plazo, como se ha descrito en cohortes recientes 5.
El caso presentado, con atrofia progresiva, induración cutánea y limitación funcional sin evidencia de compromiso sistémico, es coherente con estas características clínicas. El diagnóstico se establece mediante la correlación de hallazgos clínicos, histopatológicos y, en algunos casos, de imagen. Clínicamente, se observan placas, pérdida de tejido blando, atrofia y restricción funcional4. La histopatología muestra fibrosis de la dermis profunda y del tejido subcutáneo, con infiltrado inflamatorio variable según la fase de la enfermedad6. En esta paciente, la hipocelularidad, el engrosamiento de las bandas de colágeno y la evolución crónica sugieren una fase inactiva de la enfermedad.
Para una caracterización completa, se recomienda que las biopsias incluyan tejido subcutáneo, fascia y de ser posible, músculo7. Lo que permite evaluar la extensión real del daño y orientar el pronóstico.
En este caso, los marcadores inflamatorios normales y la ausencia de autoanticuerpos apoyan que la paciente se encuentra en fase no activa. La ausencia de compromiso neurológico en los estudios de neuroconducción es consistente con la literatura, donde la morfea profunda generalmente no afecta las fibras nerviosas periféricas.
El tratamiento tiene como objetivo frenar la progresión del daño fibrótico y preservar la función articular. Entre las opciones terapéuticas se incluyen inmunomoduladores e inmunosupresores, con resultados variables 8. En esta paciente, debido a la baja tolerancia a los tratamientos farmacológicos, se optó por un manejo conservador con fisioterapia, logrando conservar parcialmente la movilidad y limitar la progresión funcional.

CONCLUSIÓN

El caso presentado corresponde con una forma crónica de la esclerodermia cutánea, caracterizado por placas de gran extensión, asociado a atrofia del miembro inferior izquierdo y hemiabdomen derecho, con limitación del rango de movimiento que mejora con fisioterapia.
Este caso resalta la importancia del seguimiento prolongado e individualizado del tratamiento, con una valoración integral para preservar función y la calidad de vida del paciente a largo plazo.

AGRADECIMIENTOS

Se extiende el agradecimiento al Dr. Rafael Santamaria Álvarez, actual Jefe del Servicio de Anatomía Patológica del Hospital Regional Rafael Hernández, por su colaboración en el análisis histopatológico.

INFORMACIÓN DE AUTORES

👩‍⚕️ Prisball Rios Acosta

🆔 ORCID: https://orcid.org/0009-0001-3585-5741
📧 Email: Prisballrios@hotmail.com
💼 Cargo: Médico interno
🏥 Institución: Policlínica Gustavo A. Ross, Panamá
🏛️ Organización: Caja de Seguro Social

👩‍⚕️ Deyla Rodríguez Rodriguez

🆔 ORCID: https://orcid.org/0009-0007-2791-1874
📧 Email: deyladermatologa@gmail.com
💼 Cargo: Médico especialista en Dermatología
🏥 Institución: Consulta externa, Policlínica Gustavo A. Ross, Panamá
🏛️ Organización: Caja de Seguro Social

BIBLIOGRAFÍA

1. Kreuter A, Moinzadeh P, Kinberger M, Horneff G, Worm M, Werner RN, et al. S2k guideline: Diagnosis and therapy of localized scleroderma. J Dtsch Dermatol Ges [Internet]. 2024;22(4):605–20. Disponible en: http://dx.doi.org/10.1111/ddg.15328

2. Mateos-Mayo A, Sánchez-Herrero A, Vilas Boas-da Silva PT, Ruedas-Martínez A, Suárez-Fernández R, Avilés-Izquierdo JA. Características clínicas y epidemiológicas de los pacientes con esclerodermia. Piel (Barc, Internet) [Internet]. 2020;35(2):72–6. Disponible en: http://dx.doi.org/10.1016/j.piel.2019.04.002

3. Keum H, Chen HW, Haley RW, Jacobe HT. Incidence and prevalence of morphea. JAMA Dermatol [Internet]. 2024;160(10):1128–30. Disponible en: http://dx.doi.org/10.1001/jamadermatol.2024.2993

4. Ayala Servin N, Duré Martinez MA, Urizar González CA, González M, Contreras CR. Esclerodermia cutánea localizada (Morfea): Reporte de caso. Med Clín Soc [Internet]. 2021;5(2):100–5. Disponible en: http://dx.doi.org/10.52379/mcs.v5i2.168

5. Iancau A, Attia S, Duarte Silva F, Eajazi A, Malja E, Xi Y, et al. Localized scleroderma: anatomic MRI findings of morphea with inter-reader analysis. Skeletal Radiol [Internet]. 2025;54(10):2055–65. Disponible en: http://dx.doi.org/10.1007/s00256-025-04909-2

6. Hernandez A, Zapata Leiva L, Mutka M, Torok KS, Ledbetter L, Zigler CK. Endpoints and outcomes for localized scleroderma/morphea: a scoping literature review. Pediatr Rheumatol Online J [Internet]. 2024;22(1):77. Disponible en: http://dx.doi.org/10.1186/s12969-024-01014-x

7. Papara C, De Luca DA, Bieber K, Vorobyev A, Ludwig RJ. Morphea: The 2023 update. Front Med (Lausanne) [Internet]. 2023;10:1108623. Disponible en: http://dx.doi.org/10.3389/fmed.2023.1108623

8. Sozeri B, Turkmen S, Atikan BY, Aktug H. Histopathological and molecular analysis in dermis and epidermis of patients with systemic and localized scleroderma. North Clin Istanb [Internet]. 2025;12(2):189–95. Disponible en: http://dx.doi.org/10.14744/nci.2024.45389