Revista Médico Científica UNACHI
REPORTE DE CASO
Rotura de múltiples placas ateroscleróticas en infarto agudo de miocardio.
Multiple atherosclerotic plaque rupture in acute myocardial infarction.
Autores: Valdés Camaño MA,1 Adames Quintero A.2
1Médico Especialista en Medicina Interna, Cardiología, Ecocardiografía e Imagen Cardiovascular.
2Médico Especialista en Medicina Interna y Cardiología Intervencionista.
Hospital Chiriquí, Panamá.
Recibido: 14 de julio 2025; aceptado: 15 de agosto 2025
Disponible en internet: 30 de enero de 2026
RESUMEN
En la mayoría de los casos de infarto agudo de miocardio el evento inicial es la rotura de una placa aterosclerótica en una de las tres principales arterias coronarias epicárdicas. Sin embargo, en una minoría de los casos, puede ocurrir rotura de placas ateroscleróticas en más de una arteria coronaria epicárdica. Presentamos el caso de un paciente masculino de 69 años de edad, con infarto agudo de miocardio y choque cardiogénico con evolución fatal, por trombosis en el tronco coronario izquierdo y en la arteria coronaria derecha.
Palabras clave: infarto agudo de miocardio, trombosis, choque cardiogénico.
ABSTRACT
In most cases of acute myocardial infarction, initial event is the rupture of an atherosclerotic plaque in one of three main epicardial coronary arteries. However, in a minority of cases, atherosclerotic plaque rupture may occur in more than one epicardial coronary artery. We present the case of a 69-year-old male patient, with acute myocardial infarction and cardiogenic shock with fatal result, due to thrombosis in the left main coronary artery and right coronary artery.
Keywords: acute myocardial infarction, thrombosis, cardiogenic shock.
INTRODUCCIÓN
La mayoría de los síndromes coronarios agudos (SCA), incluyendo el infarto agudo de miocardio (IAM) se originan de la aterosclerosis coronaria, generalmente con trombosis coronaria superpuesta causada por la rotura y la erosión de una placa aterosclerótica1. Sin embargo, aproximadamente la mitad de los pacientes con SCA tienen enfermedad arterial coronaria multivaso2, y en una proporción baja de pacientes con IAM se produce rotura de múltiples placas ateroscleróticas, la cual, no obstante, es más frecuente que entre los pacientes con angina estable3,7. Aunque en un 39.5% de los casos de IAM existe evidencia angiográfica de inestabilidad de múltiples placas8, en estudios de autopsia, la incidencia de múltiples sitios de rotura es de menos de 5%9.
A nivel mundial, diversos estudios han documentado la rotura simultánea de más de una placa de ateroma en la circulación coronaria, como el de Pollak et al, quienes reportaron trombosis simultánea en más de una arteria coronaria en 4.8% de los casos en el momento de la intervención coronaria percutánea (ICP) primaria en el Southwestern Medical Center de la Universidad de Texas, y de 1.7% de los casos de ICP primaria en la Universidad de Virginia10,11. Kubo et al, en Wakayama, Japón, encontraron, a través de tomografía de coherencia óptica (TCO), que el 38% de los pacientes con IAM presentaron múltiples fibroateromas de capa delgada tanto en la lesión culpable como en las lesiones no culpables5. Tanaka et al en Japón, utilizando ultrasonido intravascular (USIV) demostraron que la rotura de múltiples placas está correlacionada positivamente con niveles elevados de proteína C reactiva de alta sensibilidad, y por lo tanto, con inflamación sistémica, y que se asocia con pobres resultados clínicos a dos años, en comparación con la no rotura o la rotura de una sola placa aterosclerótica12. Dicha información pronóstica es diferente a la reportada por Xie et al en el estudio PROSPECT, también con USIV, donde la rotura de placas secundarias no culpables, que fue encontrada en 14% de los pacientes con SCA, no se asoció con efectos adversos cuando los pacientes fueron manejados con un tratamiento médico óptimo13.
En América Latina, destaca el estudio realizado por Sarmiento et al, en Buenos Aires, Argentina, a través de estudios anatomopatológicos en 68 pacientes fallecidos por IAM, encontrando trombo en 73% de las arterias culpables y en 28.7% de las no culpables, siendo estos hallazgos significativamente más frecuentes que en 15 pacientes de control fallecidos por causas no coronarias14. Consideramos que este caso es de interés porque muestra un escenario clínico poco frecuente, el de trombosis de múltiples lesiones ateroscleróticas, que no obstante, se debe tener en cuenta en pacientes en choque cardiogénico secundario a IAM, representando un escenario de extrema gravedad que merece ser documentado.
CASO CLÍNICO
Paciente masculino de 69 años, con antecedente de hipertensión arterial tratada con irbesartán, quien ingresó al cuarto de urgencias con diagnóstico de IAM sin elevación del segmento ST, Killip-Kimball (KK) IV.
Examen físico de ingreso:
- Presión arterial: 90/60 mmHg; frecuencia cardiaca (FC): 120 lpm; frecuencia respiratoria: 14 rpm; saturación de oxígeno: 95%.
- A su llegada presentaba deterioro hemodinámico progresivo que requirió intubación orotraqueal y soporte vasopresor con infusión de norepinefrina a 0.08 µg/kg/min.
- Se observaba ingurgitación yugular a 45° y crépitos bilaterales en ambos campos pulmonares.
- Auscultación cardíaca: ruidos cardíacos rítmicos, sin soplos.
- Extremidades: pulsos distales disminuidos en las 4 extremidades.
El electrocardiograma (ECG) de ingreso mostró taquicardia sinusal (TS) con una FC de 110 lpm, y elevación del segmento ST en las derivadas aVR y V1, asociada a depresión del segmento ST en las derivadas V2 a V6, DI, DII y aVF, tratándose de un patrón electrocardiográfico altamente sugestivo de oclusión del tronco coronario izquierdo o de enfermedad multivaso14. (Ver Figura 1a). Una hora despúes se le realizó un nuevo ECG, que mostró TS con una FC de 104 lpm; como cambios llamativos destacan la magnificación de los cambios en el segmento ST descritos en el primer ECG, y una nueva elevación del segmento ST en DIII (Ver Figura 1b).
Debido a su cuadro de choque cardiogénico fue llevado al laboratorio de cateterismo cardiaco para realización de ICP.
Debido a su cuadro de choque cardiogénico fue llevado al laboratorio de cateterismo cardiaco para realización de ICP.
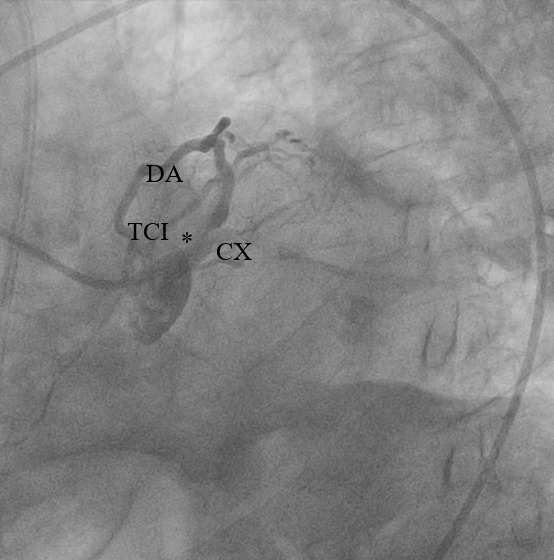
1. Arteria coronaria izquierda (Ver Figura 2)
- Tronco coronario izquierdo (TCI): se observó una lesión en bifurcación distal verdadera (Medina 1,1,1).
- Arteria descendente anterior (DA): se observó una lesión excéntrica calcificada crítica, con estenosis de 99% y flujo distal TIMI 2.
- Arteria circunfleja (CX): ocluída totalmente desde su ostium (flujo distal TIMI 0).
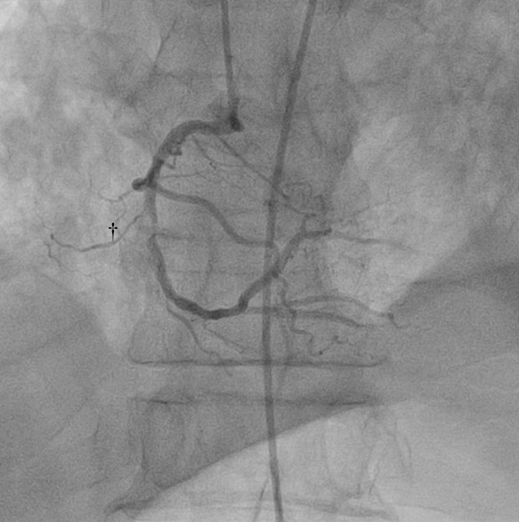
2. Arteria coronaria derecha: se observó una lesión en el segmento medio, excéntrica, con carga de trombo, con estenosis de 99% y flujo distal TIMI 2 (Ver Figura 3)
Dado que el paciente se encontraba en choque cardiogénico, se intentó revascularización en la lesión del TCI. Previa canulación del ostium del TCI con un catéter guía BL 3.5 de 6 French, se avanzó un filamento guía BMW de 0.014” hacia la DA para proteger este vaso. Sin embargo, se pierde el flujo en la DA; se intentó predilatar primero con un balón mini TREK de 2.0 x 15 mm sin avanzar, y luego con un balón de 1.5 x 15 mm sin lograr avanzar la lesión. Durante el procedimiento el paciente presentó arresto cardiorrespiratorio (taquicardia ventricular sin pulso), procediendo a desfibrilación con 200 J y a iniciar reanimación cardiopulmonar. Sin embargo, luego el ritmo involucionó a actividad eléctrica sin pulso, por lo que se decretó el fallecimiento.
DISCUSIÓN
El caso presentado corresponde a un escenario clínico poco frecuente en los SCA: el de inestabilidad, con o sin trombosis, en más de una de las principales arterias coronarias epicárdicas. En concordancia con los casos reportados en la literatura, se presentó en un contexto de IAM, al igual que lo presentado por Tanaka et al12, lo cual se asoció a un mal pronóstico; el mecanismo descrito es mediado por la inflamación sistémica y apoya el concepto de que la inestabilidad de una placa aterosclerótica no es un evento vascular aislado ni localizado sino que también refleja una respuesta inflamatoria más generalizada a través de todo el árbol coronario12.
El ECG seriado expuso datos interesantes. El ECG inicial mostró datos que orientaban a probable oclusión del TCI. Sin embargo, en el segundo ECG también se observó elevación del ST en DIII, lo cual en el contexto de un IAM KK IV, nos debe hacer pensar en oclusión tanto de la arteria coronaria izquierda como de la arteria coronaria derecha. En nuestro caso, al tratarse de una mayor proporción de miocardio en riesgo en relación al tronco coronario izquierdo, se decidió intentar angioplastia coronaria transluminal percutánea (ACTP) al mismo. Como limitación, no se utilizaron dispositivos de asistencia ventricular izquierda como auxiliares, los cuales podrían haber aportado beneficios en una ACTP compleja como la presentemente descrita16. Tampoco se utilizaron dispositivos de tromboaspiración debido a que los mismos no están actualmente recomendados de acuerdo a las guías actuales de manejo de los SCA1,15.
CONCLUSIÓN
Una pequeña parte de los pacientes con IAM puede presentar trombosis de múltiples arterias coronarias, lo que generalmente se asocia a un peor pronóstico. En nuestro caso, los hallazgos electrocardiográficos seriados fueron fundamentales para sospechar el compromiso de múltiples territorios vasculares coronarios.
AGRADECIMIENTOS
Al personal de Hemodinámica del Hospital Chiriquí por el apoyo brindado.
INFORMACIÓN DE AUTORES
👨⚕️ Miguel Ángel Valdés Camaño
🆔 ORCID: 0000-001-9497-3580
📧 Email: cowboy0985@gmail.com
💼 Cargo: Médico Especialista en Medicina Interna, Cardiología, Ecocardiografía e Imagen Cardiovascular.
🏥 Institución: Hospital Chiriquí, Panamá.
👨⚕️ Alexander Adames Quintero
🆔 ORCID: 0000-0002-6117-9919
📧 Email: sedica.cardiologia@hotmail.com
💼 Cargo: Médico Especialista en Medicina Interna y Cardiología Intervencionista.
🏥 Institución: Hospital Chiriquí, Panamá.
REFERENCIAS BIBLIOGRÁFICAS
1. Scirica B, Libby P, Morrow D. ST-Elevation Myocardial Infarction. En: Zipes D, Libby P, Bonow R, Mann D, Tomaselli G, Braunwald E, editores. Braunwald´s Heart Disease, a Textbook of Cardiovascular Medicine, Eleventh Edition. Philadelphia: Elsevier. 2019. pp 1097.
2. Byrne RA, Rossello X, Coughlan JJ, et al. 2023 ESC Guidelines for the management of acute coronary syndromes. Eur Heart J. 2023;44(38):3720-3826. Disponible en: https://doi.org/10.1093/eurheartj/ehad191
3. Hong MK, Mintz G, Lee CW, Kim YH, Lee SW, Song JM, et al. Comparison of Coronary Plaque Rupture Between Stable Angina and Acute Myocardial Infarction: A Three-Vessel Intravascular Ultrasound Study in 235 Patients. Circulation. 2004;110:928-933. Disponible en: https://doi.org/10.1161/01.CIR.0000139858.69915.2E
4. Arbab-Zadeh A, Fuster V. The Myth of the “Vulnerable Plaque.” J Am Coll Cardiol. 2015 Mar 3; 65(8): 846–855. Disponible en: https://doi.org/10.1016/j.jacc.2014.11.041
5. Kubo T, Imanishi T, Kashiwagi M, Ikejima H, Tsujioka H, Kuroi A, et al. Multiple Coronary Lesion Instability in Patients With Acute Myocardial Infarction as Determined by Optical Coherence Tomography. Am J Cardiol 2010 Feb 1;105(3):318-22. Disponible en: https://doi.org/10.1016/j.amjcard.2009.09.032
6. Dönmez Y, Acele A, Köse Z. Acute Myocardial Infarction Due to Multiple Thrombosis without Cardiogenic Shock. Med Princ Pract 2019;28:87–90. Disponible en: https://doi.org/10.1159/000495004
7. Choudary S. Acute Myocardial Infarction with Simultaneous Involvement of Right Coronary Artery and Left Anterior Descending Artery: A Case Report. Arch Med. 2015, 8:1. Disponible en: https://doi.org/10.1016/S1607-551X(10)70063-2
8. Goldstein JA, Demetriou D, Grines CL, Pica M, Shoukfeh M, O’Neill WW. Multiple Complex Coronary Plaques in Patients with Acute Myocardial Infarction. N Engl J Med 2000;343:915-22. Disponible en: https://doi.org/10.1056/NEJM200009283431303
9. Burke A, Virmani R. Significance of multiple coronary artery thrombi. A consequence of diffuse atherosclerotic disease? Ital Heart J. 2000 Dec;1(12):832-4. Recuperado de Crea F, Kolodgie F, Finn A, Virmani R. Mechanisms of acute coronary syndromes related to atherosclerosis. Uptodate. Jul 11, 2018.
10. Pollak PM, Parikh SV, Kizilgul M, Keeley EC. Multiple Culprit Arteries in Patients With ST Segment Elevation Myocardial Infarction Referred for Primary Percutaneous Coronary Intervention. Am J Cardiol 2009;104:619–623. Disponible en: https://doi.org/10.1016/j.amjcard.2009.04.053
11. Kim S, Seol SH, Park DH, Song YS, Kim DK, Kim KH, et al. Simultaneous multiple coronary arteries thrombosis in patients with STEMI. J Geriatr Cardiol 2018,15(3):241-243. Disponible en: https://pmc.ncbi.nlm.nih.gov/articles/PMC5919814/
12. Tanaka A, Shimada K, Sano T, Namba M, Sakamoto T, Nishida Y, et al. Multiple Plaque Rupture and C-Reactive Protein in Acute Myocardial Infarction. J Am Coll Cardiol 2005;45:1594 –9. Disponible en: https://doi.org/10.1016/j.jacc.2005.01.053
13. Xie Y, Mintz GS, Yang J, Doi H, Iñiguez A, Dangas GD, et al. Clinical Outcome of Nonculprit Plaque Ruptures in Patients With Acute Coronary Syndrome in the PROSPECT Study. JACC Cardiovasc Imaging. 2014 Apr;7(4):397-405. Disponible en: https://doi.org/10.1016/j.jcmg.2013.10.010
14. Sarmiento RA, Blanco F, Parisi C, Riccitelli MA, Gigena G, Gagliardi JA. Inestabilidad en multiples placas ateroscleróticas en pacientes fallecidos por infarto agudo de Miocardio. Medicina 2011; 71(4):317-322.
15. Ibáñez B, James S, Agewall S, Antunes MJ, Bucciarelli-Ducci C, Bueno H, et al. Guía ESC 2017 sobre el tratamiento del infarto agudo de miocardio en pacientes con elevación del segmento ST. Rev Esp Cardiol. 2017;70(12):1082.e1-e61. Disponible en: https://doi.org/10.1093/eurheartj/ehx393
16. Moura-Ferreira S, Ladeiras-Lopes R, Mbala D, Rodrigues A, Braga P, Gama V. The role of Impella in high-risk percutaneous coronary intervention. Rev Port Cardiol. 2018;37(7):623.e1---623.e4. Disponible en: https://doi.org/10.1016/j.repc.2017.05.013