Revista Médico Científica UNACHI

Litiasis coraliforme completa: indicación de nefrectomía ante compromiso funcional severo.

IMAGEN MÉDICA

Litiasis coraliforme completa: indicación de nefrectomía ante compromiso funcional severo.


Autor: Pitti, Roussmarie; Arias, Khayam; Goad, Kevin; Sánchez, Marta

Universidad Autónoma de Chiriquí

Médicos Especialistas en Urología HRRHL, David,Chiriquí

Recibido: 16 de julio 2025; aceptado: 20 de julio 2025

Disponible en internet: 31 de julio de 2025


PALABRAS CLAVE: Litiasis coraliforme completa, Hidronefrosis severa, Nefrectomía, Riñón no funcional, Infecciones urinarias recurrentes.

KEY WORDS: Complete staghorn calculus, Severe hydronephrosis, Nefrectomy, Non-functioning kidney, Recurrent urinary tract infections.

INFORMACIÓN DEL PACIENTE

Paciente femenina de 33 años con antecedentes de hipertensión arterial y litiasis coraliforme completa derecha de 2 años de evolución. Presentaba infecciones urinarias recurrentes que requirieron múltiples hospitalizaciones. Durante este período, refirió dolor lumbar derecho tipo cólico, intermitente, con alivio parcial tras manejo analgésico. Acude con requisitos preoperatorios al servicio de urología del Hospital Regional Rafael Hernández Loeche.

ESTUDIOS DE IMÁGENES

Descripción de imagen médica

RADIOGRAFÍA

En el flanco derecho, se observa imagen radiopaca de gran tamaño con morfología característica en “cuerno de ciervo”, ocupando la silueta renal derecha (figura 1), hallazgo compatible con litiasis coraliforme completa derecha.

Imagen 1: Radiografía simple de abdomen y pelvis en proyección anteroposterior: litiasis coraliforme completa. Fuente: departamento de radiología médica del Hospital Regional Dr. Rafael Hernández.

TOMOGRAFÍA COMPUTARIZADA

El hallazgo llamativo del estudio lo condiciona la presencia de hidronefrosis severa del riñón derecho (Figura 2) que se asocia a importante disminución del grosor cortical y signos de dilatación pielocalicial, que es condicionado por la presencia de una imagen hiperatenuante que ocupa completamente la pelvis y los cálices renales, adoptando una morfología ramificada (Figura 3a) y muestra densidad heterogénea mayormente hiperdensa que oscila entre los 950 y 1280 UH. El hallazgo sugiere obstrucción urinaria prolongada con probable compromiso funcional del parénquima renal (Figura 3b).

Imagen 2: Tomografía axial del abdomen y pelvis. Se observa adelgazamiento cortical y pérdida de la diferenciación corticomedular del riñón derecho por severa hidronefrosis, hallazgos sugerentes de daño estructural renal crónico. Compárese con la morfología conservada del riñón contralateral. Fuente: departamento de radiología médica del Hospital Regional Dr. Rafael Hernández.
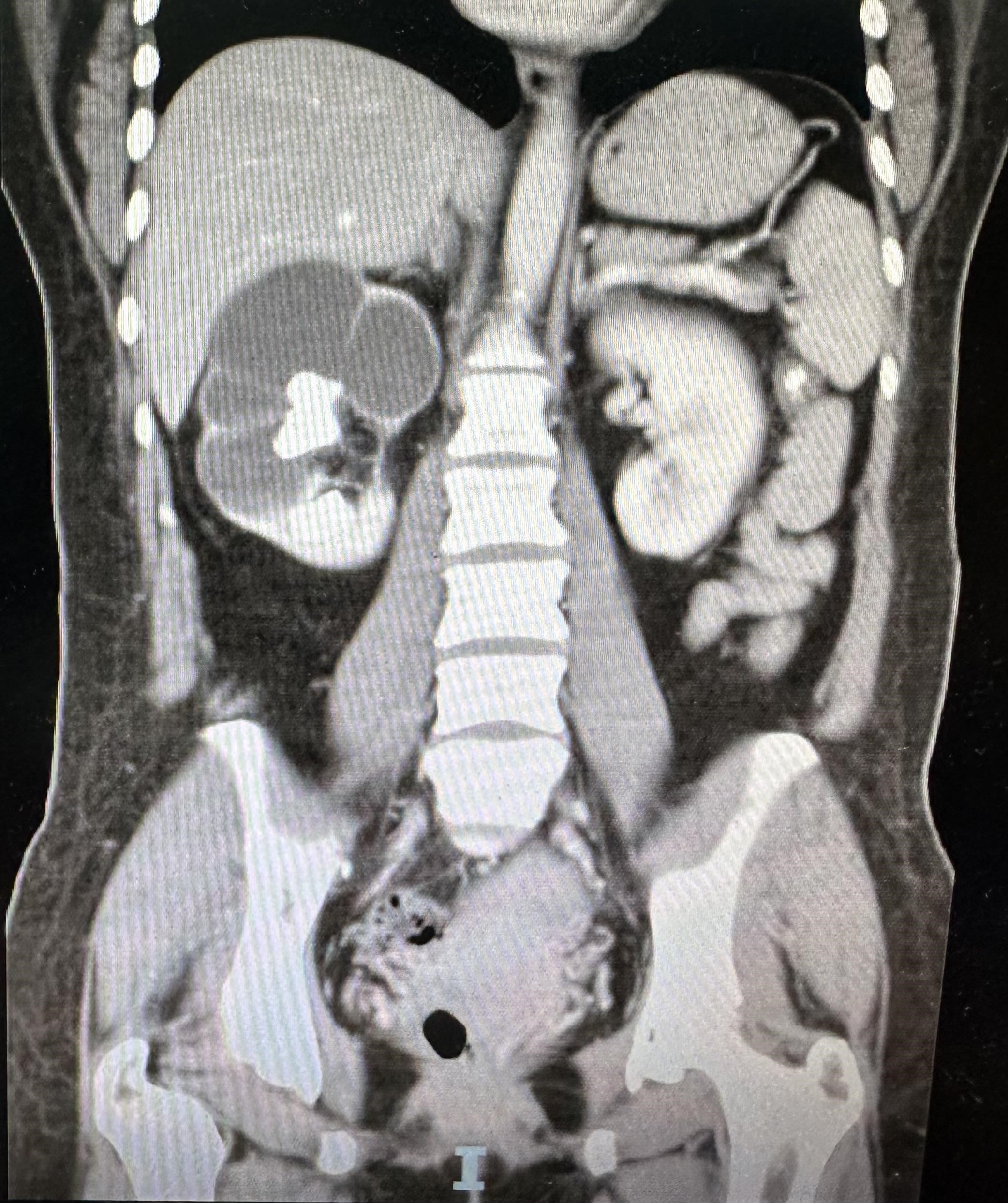
Imagen 3a: Tomografía coronal del abdomen y pelvis. Cálculo hiperdenso de gran tamaño en riñón derecho.
Imagen 3b:Riñón izquierdo presenta tamaño, morfología y grosor cortical conservados.
Figura 3a y 3b.Tomografía coronal del abdomen y pelvis. a) Cálculo hiperdenso de gran tamaño, con morfología ramificada, que ocupa por completo la pelvis renal y se extiende a los cálices mayores y menores del riñón derecho. La litiasis replica con precisión la arquitectura del sistema pielocalicial, característica de una litiasis coraliforme completa. b) En contraste, el riñón izquierdo presenta tamaño, morfología y grosor cortical conservados, sin evidencias de dilatación ni litiasis, actuando como unidad funcional compensadora. Fuente: departamento de radiología médica del Hospital Regional Dr. Rafael Hernández.

HALLAZGOS INTRAOPERATORIOS

Durante el procedimiento quirúrgico se evidenció riñón derecho de aproximadamente 10 cm (Figura 4). Se realizó incisión directa sobre la pieza para confirmar la presencia de cálculo coraliforme completo, ocupando todo el sistema pielocalicial (Figura 5a). Hay contenido hemático denso, lo que evidencia probable pionefrosis previa; además, el parénquima renal circundante está visiblemente delgado o ausente, indicando atrofia renal severa (Figura 5b). No se registraron hallazgos inflamatorios perirrenales ni complicaciones intraoperatorias.

Imagen 4: Resultado de nefrectomía simple derecha. Se aprecia gran distorsión anatómica del riñón derecho, con evidente aumento de volumen y superficie nodular, lo que indica un proceso crónico y severo. Las zonas rojizas y violáceas podrían corresponder a congestión venosa, hemorragia, o incluso necrosis parcial. Obsérvese, además, el tejido perirrenal adiposo. Fuente: foto tomada por el autor.
Imagen 5a: Incisión sobre el riñón derecho extraído.
Imagen 5b: Sección longitudinal del riñón extirpado.
Figura 5a y 5b.Incisión sobre la pieza. a) Se realiza sección longitudinal sobre el riñón extirpado a fin de evidenciar la masiva litiasis coraliforme completa que ocupaba la totalidad de la pelvis renal y se extendía hacia los cálices. b) La litiasis de este tipo se asocia con pionefrosis, como parece indicar el contenido denso visible. Fuente: foto tomada por el autor.

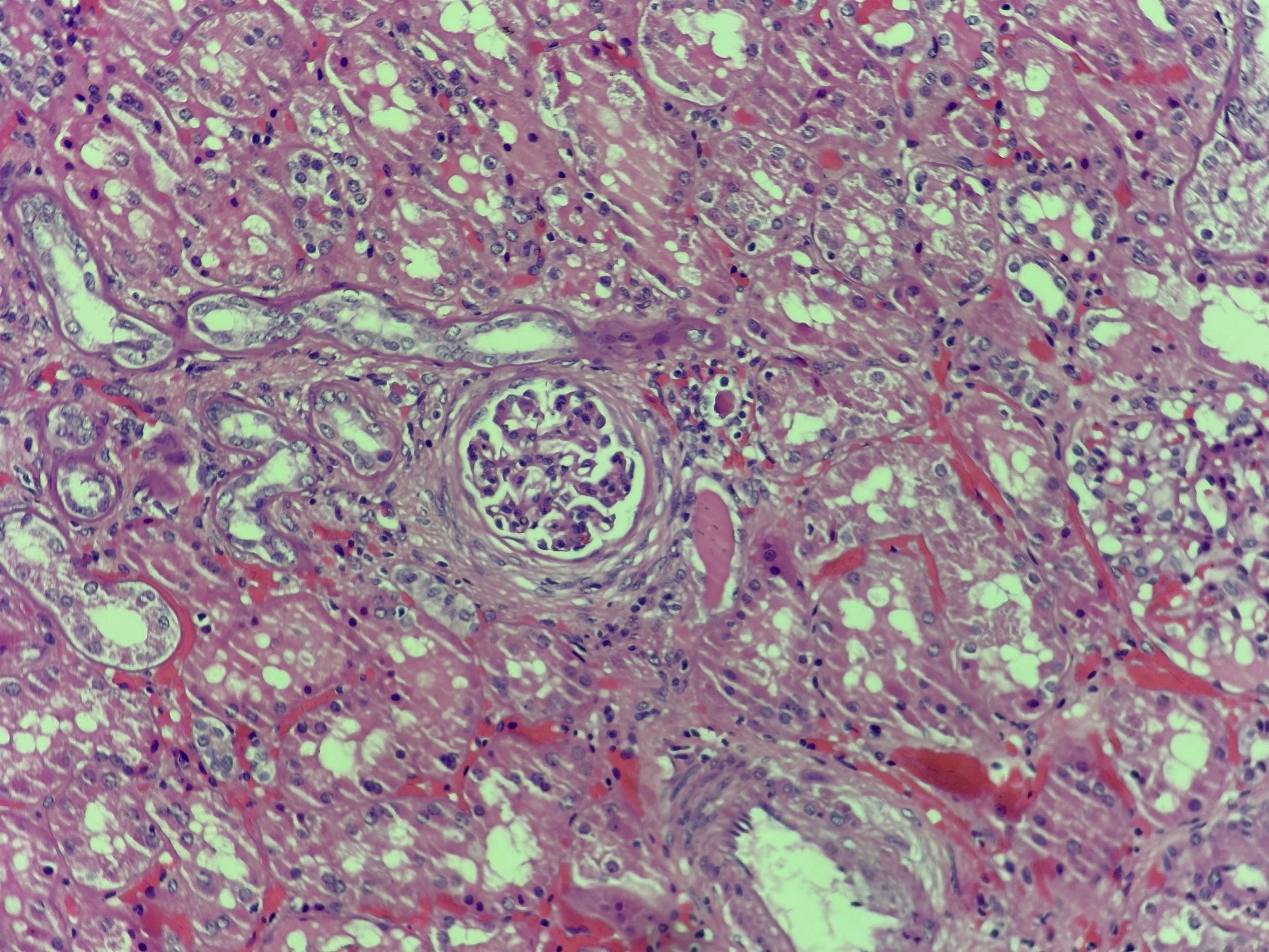
ESTUDIO HISTOPATOLÓGICO

Macroscópicamente, se observó un riñón con atrofia parietal evidente, semejando a una estructura en “cáscara”, hallazgo compatible con una pérdida extensa del parénquima renal funcional secundaria a una presión intraluminal mantenida por hidronefrosis crónica. El parénquima remanente evidenciaba una consistencia firme e irregular, lo que sugiere la presencia de fibrosis intersticial avanzada, proceso inflamatorio crónico persistente y áreas de probable necrosis isquémica, como consecuencia del compromiso vascular prolongado y la obstrucción urinaria de larga data (Figura 6).

Los tres fragmentos de la litiasis (figura 7) presentan una morfología altamente característica que recuerda la forma de astas de ciervo o formaciones de coral, de donde deriva el término “lito coraliforme”. Esta forma se debe al moldeado anatómico del sistema colector renal, incluyendo cálices mayores, menores y pelvis renal, donde cada fragmento adopta una estructura ramificada que encaja topográficamente en las distintas subdivisiones del sistema pielocalicial. Los bordes son irregulares, con proyecciones digitiformes que representan extensiones hacia cálices menores.

En el centro de la microscopía, se aprecia un glomérulo, que indica estar parcialmente esclerosado y con retraimiento del penacho glomerular. Hay aumento de la matriz mesangial y engrosamiento focal de las asas capilares, aunque no hay proliferación evidente ni signos de inflamación activa en este campo. Destaca, además, la pérdida de la arquitectura tubular normal en varias zonas, y atrofia tubular severa con epitelio aplanado. Se observa fibrosis intersticial difusa, lo que indica un proceso crónico (figura 8).

Imagen 6: Macroscopía del riñón derecho afectado. Obsérvese el evidente adelgazamiento de sus paredes producto de la hidronefrosis severa que dilató el sistema colector. Fuente: foto tomada por el autor con supervisión del Dr. Alvarado, departamento de patología del Hospital Regional Dr. Rafael Hernández.
Imagen 7: Lito coraliforme completo extraído del riñón afectado. Los fragmentos presentan superficie rugosa, con coloración parduzca-amarillenta y zonas de mayor opacidad, posiblemente atribuibles a la presencia de componentes minerales densos (fosfato amónico magnésico predominantemente, pero también es posible la presencia de apatita carbonatada y en menor grado oxalato cálcico como constituyentes mixtos, especialmente por alteraciones metabólicas e infecciones recurrentes superpuestas). Fuente: foto tomada por el autor con supervisión del Dr. Alvarado, departamento de patología del Hospital Regional Dr. Rafael Hernández.
Imagen 8:Corte histológico del riñón teñido con hematoxilina y eosina (40x). El patrón evidencia atrofia tubular severa, fibrosis intersticial extensa, nefritis intersticial, esclerosis glomerular parcial y cambios vasculares necróticos, hallazgos compatibles con nefropatía obstructiva crónica. Fuente: Dr. Alvarado, departamento de patología del Hospital Regional Dr. Rafael Hernández.

Contexto clínico

Dada la extensión del proceso litiásico y los signos avanzados de daño estructural en los múltiples estudios imagenológicos, se solicitó un centelleo renal funcional con DTPA más diurético. Este reveló una perfusión deficiente e irregular hacia el riñón derecho, así como deterioro severo de su función parenquimatosa, sin mejoría tras la administración de diurético intravenoso. En contraste, el riñón izquierdo mostró parámetros funcionales conservados. La tasa de filtración glomerular global fue de 91 ml/min, con una distribución de un 34 % para el riñón derecho (31 ml/min) y un 66 % para el izquierdo (60 ml/min). Las curvas del renograma confirmaron una obstrucción urinaria severa del lado derecho, sin respuesta al estímulo diurético, hallazgo que traduce una pérdida funcional irreversible.

Ante la evidencia de un riñón derecho crónicamente dañado y no funcional, sumado al riesgo de complicaciones infecciosas y a la pérdida definitiva del tejido renal útil, se indicó nefrectomía simple derecha como tratamiento definitivo. Con todos sus requisitos preoperatorios aprobados, se programó la intervención, la cual se realizó sin complicaciones. Durante la cirugía, se constató la presencia de un cálculo coraliforme completo que ocupaba totalmente la pelvis renal y los cálices, en el contexto de un parénquima atrófico y con signos de daño crónico, lo que corroboró la indicación quirúrgica. La paciente fue dada de alta con evolución favorable y seguimiento programado por urología, nefrología y psicología

Discusión

La litiasis coraliforme completa representa una entidad compleja y severa, usualmente asociada a infecciones urinarias crónicas por bacterias productoras de ureasa, como Proteus mirabilis, Klebsiella spp., o Pseudomonas aeruginosa.[1]

Estas bacterias alcalinizan la orina, facilitando la precipitación de fosfato de magnesio y amonio (estruvita), lo que genera cálculos de gran tamaño con morfología ramificada y coloración amarillo-verdosa, como se observó en este caso [1,2]

La hidronefrosis severa condicionó una marcada distensión y deformación del riñón, fenómeno conocido en los estudios de imagen como bolsón hidronefrótico, el cual refleja una acumulación sostenida de orina en un sistema colector sin drenaje efectivo. Esta situación conduce progresivamente a atrofia cortical y pérdida del parénquima renal funcional.[3]

Por otro lado, la presencia de contenido hemático denso junto con líquido purulento que se liberó del interior de la pieza, es altamente sugestivo de pionefrosis, una complicación grave derivada de la obstrucción urinaria crónica. [4]

Este tipo de riñón, afectado estructuralmente, suele ser no funcional en estudios de medicina nuclear como el centelleo renal con DTPA (dietilentriaminopentaacetato) o MAG3 (gammagrafía renal con mercaptoacetiltriglicina), lo que apoya la indicación de nefrectomía. [5]

En este caso, la decisión quirúrgica se sustentó en el daño irreversible, el riesgo infeccioso persistente y el pobre pronóstico funcional.

Estas imágenes representan un caso extremo, pero clásico, de las consecuencias del manejo inadecuado y tardío de una litiasis coraliforme. Cuando no se interviene de forma oportuna, este tipo de litiasis puede evolucionar, causando múltiples complicaciones e incluso la pérdida total del órgano. El tratamiento oportuno —litotricia, nefrolitotomía percutánea o nefrectomía en riñones no funcionales— es esencial para evitarlas. [6,7]

La extirpación quirúrgica del riñón se convierte en una medida terapéutica indicada, especialmente si hay infecciones recurrentes, dolor persistente o sospecha de complicaciones infecciosas o malignas. [8]

Este caso subraya la importancia del diagnóstico temprano y el abordaje terapéutico adecuado para preservar la salud renal y prevenir desenlaces adversos.

Agradecimientos

Expresamos el más sincero agradecimiento al Dr. Rolando Alvarado Anchisi, del Departamento de Anatomía Patológica del Hospital Regional Dr. Rafael Hernández, por su valiosa colaboración en el análisis histopatológico y su guía experta, que fueron fundamentales para el desarrollo y la profundidad científica de este artículo.

IDENTIFICACIÓN ORCID:

BIBLIOGRAFÍA

1. Türk C, Petřík A, Sarica K, Seitz C, Skolarikos A, Straub M, et al. Guías clínicas de la Asociación Europea de Urología sobre urolitiasis 2023 [Internet]. Arnhem: European Association of Urology; 2023. Disponible en: https://uroweb.org/guidelines/urolithiasis

2. Romero V, Akpinar H, Assimos DG. Infecciones urinarias y cálculos de estruvita: fisiopatología y manejo. Curr Urol Rep. 2022;23(1):45–52. doi:10.1007/s11934-022-01104-7

3. Pearle MS, Lotan Y, Freedland SJ, Roerhborn CG, Preminger GM. Pathophysiology and clinical implications of obstructive uropathy. J Urol. 2019; 202(2):254–261. doi:10.1097/JU.0000000000000306

4. Chew BH, Zisman A. Infección urinaria obstructiva y pionefrosis: actualización clínica. Nat Rev Urol. 2018;15(5):295–306. doi:10.1038/nrurol.2018.34

5. Sharma A, Gupta N. Evaluación de la función renal en pacientes con nefropatía obstructiva usando gammagrafía con DTPA. World J Nucl Med. 2020;19(4):329–334. doi:10.4103/wjnm.WJNM_55_20

6. Bacelar H, López-García M, Ruiz MJ, Hernández D, Ortiz M. Litiasis coraliforme: revisión y actualización en su manejo. Actas Urol Esp. 2018;42(2):125–132.

7. Preminger GM, Tiselius HG, Assimos DG, Alken P, Buck AC, Gallucci M, et al. Urolitiasis: enfoque integral del diagnóstico y tratamiento. N Engl J Med. 2019;380(10):971–980.

8. Skolarikos A, Straub M, Seitz C, Petřík A, Somani B, Sarica K, et al. Indicaciones actuales de nefrectomía en urolitiasis. Eur Urol Focus. 2023;9(1):112–118. doi:10.1016/j.euf.2022.06.003